治療料金についての考え方
歯科治療には、「保険治療」と「自費治療」の2種類があります。
保険治療は、国民が日本全国どこにいても平等な治療を受けられるように作られたシステムで、ガイドラインに沿った標準的な技工材料を使い基本的な治療を行うことが目的です。
一方、自費治療は保険治療では使用できない高機能な技工材料を使用し、歯の状態や噛み合わせのバランスなどを考慮した、一人ひとりの患者さんにより良い治療を行います。
インプラントなど、見た目の美しさや生活の質を向上させるような高度な技術による治療が可能となります。
自費治療の場合、費用・治療内容・治療期間については、詳しい説明を行った後、どの治療方法にされるのかを患者さんに選んで頂きます。
料金表は下記になります。
治療料金表
支台(被せものの土台)
ファイバーコア
|
金属をいっさい使用していない強化ファイバーポストとレジン及びハイブリッドレジン材料で構成されています。 体や歯根・歯茎にやさしい土台です。 金属アレルギーの心配もありません。 審美性:★★★★★ 変色性:★★★★ 強 度:★★★ 1歯(本)あたり/¥12,000(税別) |
|---|
メタルコア
|
自費診療の場合の支台になります。 金属を使用した土台ですが、銀合金が主成分なので、歯茎が黒ずむなどのデメリットが生じることもあります。 審美性:★★★ 変色性:★★★ 強 度:★★★★ 1歯(本)あたり/¥6,000(税別) |
|---|
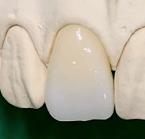
前歯クラウン(被せもの)
オールセラミッククラウン
ジルコニア グラデーション
|
自然な色調のジルコニアで作ったクラウンです。 色調と強度のバランスが良く、前歯~臼歯のどの部分にもオススメです。 最もスタンダードなクラウンです。 審美性:★★★★ 変色性:★★★★★ 強 度:★★★★ 1歯(本)あたり/¥70,000(税別) |
|---|
ジルコニア レイヤリング
|
ジルコニアフレームに多彩なセラミック盛り付けた、審美性を追求した最高級のクラウンです。前歯部に最適です。 ポーセレンは手作業にて色調調整をするため、微細な色合わせが必要な場合にオススメです。 審美性:★★★★★ 変色性:★★★★★ 強 度:★★★ 1歯(本)あたり/¥110,000(税別) |
|---|
メタルセラミッククラウン
メタルボンド クラウン
|
金属のフレームの上に多彩なセラミックを焼き付けて作られています。 金属を使用しているため色調はオールセラミックにやや劣りますが、ブリッジでオールセラミックでは強度が不足する場合にオススメです。 特に金属アレルギーの方にはお勧めできません。 審美性:★★★★ 変色性:★★★★★ 強 度:★★★★★ 1歯(本)あたり/¥80,000(税別) |
|---|
臼歯クラウン(被せもの)
オールセラミッククラウン
ジルコニア グラデーション
|
自然な色調のジルコニアで作ったクラウンです。 色調と強度のバランスが良く、前歯~臼歯のどの部分にもオススメです。 最もスタンダードなクラウンです。 審美性:★★★★ 変色性:★★★★★ 強 度:★★★★ 1歯(本)あたり/¥70,000(税別) |
|---|
ジルコニア ホワイト
|
高強度のジルコニアで製作するクラウンです。 強度を優先しているため透明感がなく、天然歯と色合わせができません。 あまり見えにくい奥歯に最適です。 審美性:★★★ 変色性:★★★★★ 強 度:★★★★★ 1歯(本)あたり/¥50,000(税別) |
|---|
メタルセラミッククラウン
メタルボンド クラウン
|
金属のフレームの上に多彩なセラミックを焼き付けて作られています。 金属を使用しているため色調はオールセラミックにやや劣りますが、ブリッジでオールセラミックでは強度が不足する場合にオススメです。 特に金属アレルギーの方にはお勧めできません。 審美性:★★★★ 変色性:★★★★★ 強 度:★★★★★ 1歯(本)あたり/¥80,000(税別) |
|---|
臼歯インレー(詰めもの)
オールセラミック
ジルコニア グラデーション インレー
|
自然な色調のジルコニアで作ったインレーです。 色調と強度のバランスが良く、小臼歯、大臼歯のどの部分にもオススメです。 白い詰め物の中で一番強度が高い材質です。 審美性:★★★★★ 変色性:★★★★★ 強 度:★★★★ 1歯(本)あたり/¥70,000(税別) |
|---|
プレスセラミック インレー
|
ジルコニアに比べると約半分くらいの強度ですが、その分コストが抑えられてます。 バランスの良いインレーですが強度的に制限があります。 審美性:★★★★★ 変色性:★★★★★ 強 度:★★★ 1歯(本)あたり/¥58,000(税別) |
|---|
ホワイトニング
オフィスホワイトニング
| 1歯(本) | ¥3,000(税別) |
|---|---|
| 片顎・前歯6本 | ¥17,000(税別) |
| 上・全顎 | ¥33,000(税別) |
ホームホワイトニング
| 片顎(上下)どちらか | ¥15,000(税別) |
|---|
インプラント
| 体と上部構造(1本) | ¥350,000(税別) |
|---|---|
| サイナスリフト | ¥100,000(税別)~ |
| ソケットリフト(1歯) | ¥50,000(税別) |
| ソケットプリザベーション(1歯) | ¥30,000(税別) |
| CT撮影料金 | ¥20,000(税別) ※ 当院ではインプラント手術を安全に行うため、CT画像解析をしています。 |
|---|---|
| 分析料 | ¥30,000(税別) |
| サージカルガイド |
¥50,000~100,000(税別) ※ インプラント注入本数により変わります。 |
入れ歯
金属床義歯
チタン金属床
|
チタンの金属プレートを使用し、強度を上げながら、薄さと軽さを実現した義歯です。 生体親和性の高いチタン合金を使用することで、体に優しく安心して使用して頂けます。 適合性:★★★★ 審美性:★★★★ 強 度:★★★★★ ¥350,000(税別) |
|---|
コバルト金属床
|
中央部分をコバルトのメタルプレートにすることで、アクリルの1/3の厚さまで薄くすることができるので、しゃべりやすくなり、違和もが少なくなります。 アクリル床(保険適用の義歯)に比べて薄くて丈夫です。 適合性:★★★★★ 審美性:★★★★ 強 度:★★★★★ ¥250,000(税別) |
|---|
コンフォートデンチャー
|
コンフォートは、硬い入れ歯の裏面を生体用シリコーンというクッションで覆う、全く新しい入れ歯の技術です。 生体用シリコーンの弾性が、入れ歯でグッと噛んだときの歯茎にかかる負担をやわらげ、シリコーン特有の吸着力を発揮します。 「痛い・噛めない・外れやすい」といった、従来の入れ歯の悩みを解消するとともに、歯茎にやさしい材料を使用しています。 適合性:★★★★★ 審美性:★★★★ 強 度:★★ ¥250,000(税別) |
|---|
ノンクラスプデンチャー
金属フレームタイプ
|
メタルのバーを使用することで咬む事に対する機能を向上させています。 適合性:★★★ 審美性:★★★★ 強 度:★★★★ ¥150,000〜450,000(税別) ※症例毎にお見積もり |
|---|
樹脂タイプ
|
金属のバネ(クラスプ)を使わないタイプの部分義歯です。 専用の入れ歯洗浄剤が必要です。 適合性:★★ 審美性:★★★★★ 強 度:★★ ¥120,000〜300,000(税別) ※症例毎にお見積もり |
|---|
保証に関して
自費診療の治療には、2年から5年間の保証を付けております。
ただし、一定の定期健診を受けられている患者さんに限ります。
ご相談下さい。
お支払い方法
自費利用に関してはクレジットカードのご利用が可能です。
場合によって、分割手数料無料のデンタルローンをご利用頂けます。

医療費控除について
歯科の医療費控除とは
医療費控除とは、自分や家族のために医療費を支払った場合、一定の金額の所得控除を受けることができる制度です。
治療にかかった費用は医療費控除の対象になります。
医療費控除は医療費の負担を軽減するために設けられた制度で、一年間に10万円以上の医療費が必要になった場合に所得税の一部が戻ってきます。
本人及び生計を同じにする配偶者その他親族の医療費(毎年1月1日から12月31日までの分)を支払った場合には翌年の3月15日までに申告すると医療費控除が適用され税金が還付または軽減されます。
ただし、年間お支払いになった医療費が10万円以上でなければ対象となりません。(申告額は200万円が限度です)所得金額合計が200万円までの方は所得額の5%以上医療費がかかった場合に申告できます。
控除金額について
控除される金額は下記の計算額になります。

所得税率は所得が多いほど高くなりますので、高額所得者ほど還付金は多くなります。
詳しくは国税庁のホームページをご覧下さい
http://www.nta.go.jp/
医療費控除の対象となる医療費
- 医師、歯科医師に支払った診療費、治療費
- 治療の為の医薬品購入費
- 通院、入院の為に通常必要な交通費(電車賃、バス代、タクシー代等)
- 治療の為に、あん摩マッサージ指圧師、はり師、きゅう師による治療を受けた際の施術費
- その他
還付を受けるために必要なもの
- 確定(還付)申告書(給与所得者は源泉徴収票)
- 領収書(コピーは×)
- 印鑑、銀行等の通帳
※ 確定(還付)申告書は地元の税務署においてあります。
※ 申告期間は翌年の2月16日から3月15日の間です。ただしサラリーマンの方の還付は1月以降受理されます。


