当院のバネのない入れ歯について
当院のバネのない入れ歯については、こちらの動画をご覧下さい。
入れ歯は快適に使えるものです!
入れ歯にまつわるイメージに「合わない」「目立つ」というマイナスイメージがあるではないでしょうか。
しかし最近の入れ歯は格段に進歩しています。
当院では、歯科技工士と直接提携をしており、歯科医師と歯科技工士がタッグを組み、咬合(咬み合わせ)から考えた入れ歯作りを実施しています。
入れ歯に関するお悩みがあれば、遠慮なさらずお話下さい。
自然に見える入れ歯「スマートデンチャー」(部分入れ歯)
●残った歯に優しい
プラスチックのバネは、弾力性があり、バネをかける歯への負担がすくなくなります。
●見た目に目立ちにくい工夫
プラスチックのバネは、歯茎の色と同化し、目立ちにくくなります。
●体に優しい材料
プラスチックのバネは、金属アレルギーの心配がありません。
| スマートデンチャー | 金額:¥100,000(税別)~¥350,000(税別) |
|---|---|
| 納期:1ヶ月〜2ヶ月弱 |
※ 歯の欠損数によって金額は変わります。
保険のバネとの違い
保険のバネ
(銀色のバネ)

目立ちにくさ:★☆☆☆☆
つけ心地:★☆☆☆☆
お求めやすく経済的な入れ歯です。
前歯でもバネしか使用しません。
バネの全体がお口を開いた時に見えるので、入れ歯をしていることがわかりやすいです。
スマートデンチャー
(床を延長したバネ)

目立ちにくさ:★★★★★
つけ心地:★★★★★
金属のバネが無いため、見た目が綺麗で入れ歯と気付かれにくいのが特長です。
水分吸収を抑えたプラスチックの素材で衛生的です。
金属を使用しないデンタルコスチューム「バルプラスト」
従来の金属バネ式とは違い、金属を使用せず、弾力性に優れた入れ歯です。
金属アレルギーの方も、安心してご使用頂けます。
元の歯が甦ったような噛み心地が得られるよう努めております。
期間は治療方法により異なりますのでご相談下さい。
| バルプラスト | 金額:¥100,000(税別)~¥350,000(税別) |
|---|---|
| 納期:1ヶ月〜2ヶ月弱 |
※ 歯の欠損数によって金額は変わります。
従来のバネ式入れ歯との比較

| デンタルコスチュームバルプラスト | バネ式の入れ歯 | |
|---|---|---|
| 見た目 | 金属を使用していないので境目が目立たない | 金属のバネがあるので境目が目立つ |
| フィット感 | 歯茎にジャストフィット、違和感がない | 違和感がある |
| 強さ | 弾力性の高い材質により破折に強い | 破折に弱い |
| 重さ・厚さ | 従来の入れ歯の1/2の重さ | 重い、厚ぼったい |
| バネによる歯の負担 | 金属のバネが無いので残った歯の負担が軽い | 金属バネの負担により残った歯を傷めやすい |
| 食べ物 | お餅やガムがくっつかない | お餅やガムがくっついてしまう |
| アレルギー | 金属アレルギーの心配なし | 金属アレルギーの方は注意が必要 |
Comfort入れ歯

コンフォートは、硬い入れ歯の裏面を生体用シリコーンというクッションで覆う、全く新しい入れ歯の技術です。
生体用シリコーンの弾性が、入れ歯でグッと噛んだときの歯ぐきにかかる負担をやわらげ、驚くほどの吸着力を発揮。
「痛い・噛めない・外れやすい」といった、従来の入れ歯の悩みを解消するとともに、あなたの歯ぐきをやさしく守ります。
※ 今お使いの入れ歯にも加工できます。ただし、入れ歯の材質によっては、加工できないものもあります。
コンフォートの3大メリット
1.歯茎を守る!
コンフォートは歯ぐきの座布団。硬い入れ歯と歯ぐきの間でクッションの役割を果たし、 デリケートな歯ぐきをやさしく保護します。
硬い入れ歯による歯ぐきのトラブル(歯ぐきの血流障害など)を緩和します!
2.痛みを和らげる
コンフォートは入れ歯の歯ぐきにあたる面を生体用シリコーンというクッション材で覆うため、 歯ぐきにかかる圧力を軽減し、噛んだときの痛みをやわらげます。
もう食べるものを選ばなくても大丈夫。
硬いものでも、しっかり噛めるので、食欲もよみがえります!
3.外れにくい
生体用シリコーンの適度な弾力が吸盤のような密閉性を生み出し、
噛むときに発生するアゴの横の動きにも抜群の吸着性を実現します。
食事のときや話をするときに外れにくくなります。
また、入れ歯と歯ぐきの間に食べ物が詰まりにくくなります!
噛む力が通常の入れ歯の2倍に!

生体用シリコーンの柔軟性が痛みを緩和し、以前よりしっかりと噛めるようになります。
食べ物をすり潰せるような強い力が実現するので、硬いものはもちろん、イカやステーキといった弾力性のあるものも、しっかり噛めます!
※ 噛む力には個人差があります。
変質や劣化がほとんどなく剥がれにも強い!
生体用シリコーンを使っているので変質や劣化に強く、柔らかさが長期間持続します。
また特殊な加工技術により、これまでの軟性裏装材に比べて飛躍的に剥がれにくくなりました。
■コンフォートの安心保証■
●3年間保証
万が一コンフォートを通常の方法で使用していながら剥がれ・変質が発生した場合には無償で張り替えをいたします。
張り替えに伴う治療費・診察費は含まれません。
●生産物責任保険
万が一、当社の製品の欠陥により、患者さんが怪我をされる等の事故で損害が発生した場合に備えて、コンフォートは生産物責任保険に加入しております。
お怪我の治療費用や入院・通院費用等、弊社が負担すべき損害を補償いたします。
事故がございましたら、まずかかりつけの歯科医にご相談下さい。
取り扱い : あいおい損害保険株式会社
当院のバネのない入れ歯治療の特徴
保険の入れ歯よりも軽く薄いため、快適性の高い入れ歯です。
プラスチックでできているため、体に優しく、金属アレルギーの心配がありません。
当院提携の優秀な技工士と患者様との直接相談で、ご希望の入れ歯を製作いたします。
治療の流れ
※下記の各来院日程におきまして、患者様の入れ歯・お口の状態により治療内容が前後する場合がございますのでご了承ください
来院1日目
1日目の所要時間は30分程度です。
-

カウンセリング
まず院長が現在のお口の状況についてしっかりと把握します。
患者様の入れ歯に対する疑問や治療の手順、定期検診の重要性なども詳しくご説明させて頂きます。 -

レントゲン撮影
次にレントゲンの撮影を行います。 -

使用中の入れ歯を調整
患者様が入れ歯を使用中の場合は調整をします。 -

診査結果の説明
その後、診査結果を説明するとともに費用などについてもご説明させていただきます。
十分にご納得いただいてからバネのない入れ歯治療を進めていくことができます。 -

患者様のお口に合ったトレーを作るための型どり
また精密な義歯を製作するために患者様のお口に合ったトレーを作るための型どりを行います。
来院2日目
精密な型どり
精密な型どりを行います。
患者様が本当に希望される義歯を製作することが可能です。
※専門の歯科技工士に相談することもできます。
来院3日目
噛み合わせの記録
噛み合わせの記録を行います。
※2日目に嚙み合わせの記録を同時に行うこともあります。
来院4日目
仮の入れ歯を装着(試適)
仮の入れ歯を装着します。
最終的な入れ歯と遜色ない入れ歯ですから、装着感や噛み合わせを調べることができます。
修正する箇所があれば技工所で修正を加えます。
来院5日目
-

完成したバネのない入れ歯を装着
バネのない入れ歯が完成しますので、実際に装着いただいて違和感のある部分を調整します。 -

着脱方法の練習
また着脱方法やお手入れの仕方もお話いたします。 -

翌週に再度調整を行う
翌週に再度来院していただき、調整を行います。違和感がなくなれば完成です。
今までバネのある入れ歯でお困りだった患者様も快適に使っていただけます。
おいしい食事をしてもらい、より健康な生活を送ってください。
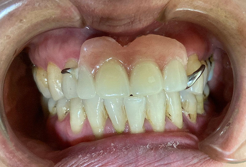
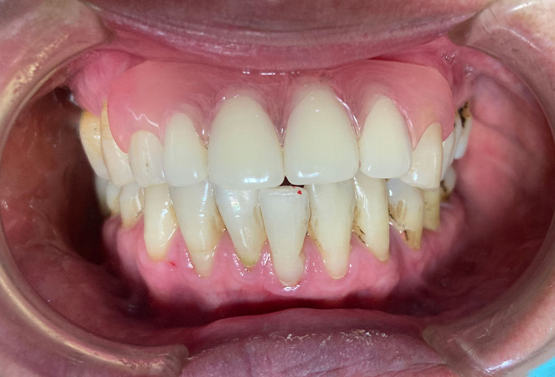
症例紹介
「バネ(クラスプ)を使用しない部分入れ歯(ノンクラスプ義歯)」 を製作した症例
治療前

治療後

| 患者様 | 50代女性 |
|---|---|
| 主訴 | 入れ歯の金属のバネが気になる |
| 素材 | ナイロン系弾性樹脂 |
| 適応部位 | 上顎前歯部欠損(4歯欠損) |
| 治療期間 | 約8週間(来院4回) ※但しset後の調整は除く |
| 設計の理由 | 審美性の向上およびクラスプによる支台歯負担の軽減を目的 |
| 治療費用(自由診療) | ノンクラスプ義歯(片側):198,000円(税込) メンテナンス費用:調整ごとに3,300円(税込) ※保険適用外の自由診療です。 |
| 主なリスク・副作用 | 経年的に樹脂が変色・変形する可能性があります。 残存歯の状態によっては適合が変化し、調整・再製作が必要となる場合があります。 症例によっては装着後に痛み・違和感が生じることがあります。 すべての患者様が、掲載写真と同様の結果になるわけではありません。 |


